DA LI JE MOGUĆE IMATI UPALU PLUĆA BEZ TEMPERATURE? Obratite pažnju i na ove simptome

Upala pluća jedan je od vodećih uzroka oboljenja i smrtnosti u svijetu. Najčešća je i najopasnija u vrlo male djece i osoba starijih od 65 godina te osoba koje boluju od drugih kroničnih bolesti kao što su:kardiovaskularne bolesti,dijabetes i kronične plućne bolesti.

Kategoriziramo ih prema mjestu gdje je infekcija stečena na bolničke i izvanbolničke, na koje ćemo se fokusirati u daljnjem tekstu.

Faktori rizika
dob veća od 65 godina,
pušenje,
neuhranjenost,
kronične plućne bolesti (KOPB, astma) i druge kronične bolesti (kardiovaskularne bolesti, dijabetes),
oslabljeni imunološki sustav (HIV, transplantirani bolesnici, kemoterapija, kronična terapija steroidima)
otežano kašljanje (droga i alkohol, smanjena pokretljivost)
nedavna virusna upala dišnog sustava (gripa)

Uzroci upale pluća

Upala pluća je najčešće uzrokovana virusima i bakterijama (najčešće Streptococcus pneumoniae), a može biti uzrokovana i gljivama kod ljudi s oslabljenim imunološkim sustavom.

Simptomi upale pluća

Najčešći simptomi vezani uz dišni sustav su:

kašalj i često iskašljavanje sluzi,
otežano disanje i
bol u prsima.

Od sistemskih simptoma česti su:

vrućica, zimica,
umor,
slabost i gubitak apetita.
Većina ljudi ima povišenu temperaturu, a upala pluća bez temperature može se pojaviti u starijih osoba te u osoba s oslabljenim imunološkim sustavom kod kojih i drugi simptomi mogu biti slabije izraženi.

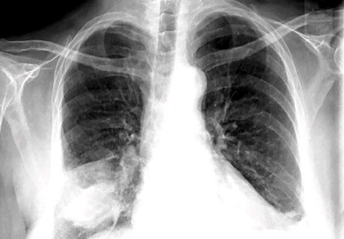
Dijagnostika upale pluća

Sumnju na upalu pluća pobuđuje klinička slika, a potvrđuje ju RTG pluća. RTG pluća gotovo uvijek pokazuje neki stupanj infiltracije.

Kod imunokompromitiranih te kod ljudi koji su bili izloženi određeni uzročnicima nakon negativnog RTG-a učinit će se CT kako bi s većom sigurnošću mogli isključiti upalu pluća. Može se također vaditi krv iz koje se određuje razina bijelih krvnih stanica čiji broj se najviše povećava kod bakterijske infekcije. Budući da upala pluća može dovesti do smanjene razine kisika u krvi određivanje iste također može biti korak u dijagnostici.

Identifikacija uzročnika ne provodi se rutinski već samo kod bolesnika u kritičnom stanju, kad se sumnja na bakterije rezistentne na lijekove ili na rjeđe uzročnike te u slučaju pogoršanja bolesti ili ako izostane odgovor na terapiju unutar 72 sata. Uzročnici se određuju iz uzroka iskašljaja ili uzorka dobivenog bronhoskopijom.

Upala pluća – liječenje

Većina bolesnika se liječi kod kuće, samo bolesnici s težom upalom pluća se hospitaliziraju. Budući da je uzročnike upale pluća teško identificirati antibiotici se odabiru empirijski, odnosno na temelju vjerojatnosti o kojem se uzročniku radi. Primjenom takve terapije 90% bolesnika se oporavi. Ako ne dođe do poboljšanja mogući razlozi su neuobičajeni uzročnik, rezistencija bakterije na primijenjeni antibiotik ili oslabljeni imunološki sustav. Virusne upale pluća najčešće se izliječe bez terapije.

Većini pacijenata sa poboljšanjem kliničke slike nije potreban kontrolni RTG. Kontrolni RTG treba uraditi 7 do 12 tjedana nakon liječenja kod bolesnika starijih od 50 godina, posebno kod muškaraca te kod pušača.

Oporavak nakon upale pluća

Većini bolesnika se stanje počinje popravljati nakon 3 do 5 dana antibiotske terapije. Umor i kašalj mogu potrajati još i dulje od mjesec dana, ali većina ljudi se može vratiti redovitim aktivnostima za tjedan dana. Oporavak nakon liječenja u bolnici može trajati dulje. Za vrijeme oporavka potrebno je odmarati se, piti puno tekućine te popiti antibiotik do kraja.

Komplikacije kod upale pluća

Većinom se upale pluća izliječe bez komplikacija, ali nekad do njih dođe, posebno kod rizičnih bolesnika. Mogu biti povezane sa samom upalom pluća ili s lijekovima kojima se liječi.

Moguće komplikacije su.

nakupljanje tekućine ili gnoja između listova pleure,
razvoj apscesa (nakupine gnoja),
bakterijemije (prisutnost bakterija u krvi) te
kardiovaskularne epizode kao što je infarkt miokarda.
Ipak, većina ljudi se potpuno oporavi, bez trajnih posljedica.

Prevencija upale pluća

prestanak pušenja,
cijepljenje protiv gripe,
cijepljenje protiv pneumokoka (S.pneumoniae) za rizičnu populaciju.

Upala pluća kod djece
Upala pluća je češća kod djece mlađe od 5 godina, a najčešći uzročnik u toj dobnoj skupini su virusi iako su i bakterije značajne.

U starije djece su najčešći uzročnici bakterije. Simptomi nisu specifični, kombinacija kašlja i vrućice upućuje na upalu pluća, ali simptomi mogu biti i vrlo blagi i upućivati na neke druge dijagnoze (npr. bol u trbuhu).

RTG nije nužan kod djece koja se liječe ambulantno, ali trebao bi se uraditi kod djece s težim oblikom bolesti, komplikacijama, ponavljajućim upalama pluća te kod klinički atipičnih oblika bolesti.

U većini slučajeva nije potrebna identifikacija uzročnika već se terapijom ciljaju najčešći uzročnici u dobnoj skupini djeteta. Većina djece potpuno se oporavi bez dugoročnih posljedica, ali mogu otežano disati i nastaviti kašljati do nekoliko mjeseci.

(Krenizdravo.hr)

Leave a Reply

Your email address will not be published. Required fields are marked *

This site uses Akismet to reduce spam. Learn how your comment data is processed.