Ljekari mislili da ima rak, pa se iznenadili kad su otkrili šta je na snimku

Muškarac (47) iz Velike Britanije vjerovatno slavi drugi rođendan nakon što su ljekari, pod sumnjom na tumor na plućima, otkrili da je tamna mrlja vidljiva na rendgenskoj snimci zapravo igračka koju je progutao još kao dijete.

Pacijent, čije ime nije objavljeno, preko godinu dana žalio se na kašalj praćen iskašljavanjem žute sluzi.

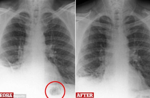
Muškarcu su pluća poslikali rendgenom te je uočena mrlja na plućnom krilu što su odmah povezali s činjenicom da je riječ o dugogodišnjem pušaču. Odmah su posumnjali na tumor. Upućen je na daljnje pretrage te su otkrili da nije riječ o tumoru – u plućnom krilu našli su plastični čunj iz Playmobil seta za djecu kojeg je muškarac progutao prije 40-ak godina.

Ljekari, koji su zanimljiv slučaj opisali na stranici BMJ Case Reports, muškarca smatraju medicinskim misterijem jer je prošlo toliko godina bez da su se pojavili ikakvi simptomi.

– Ovo je prvi poznati slučaj traheobronhijalnog stranog tijela koje niko nije uočio 40 godina – pišu liječnici.

Čunjić je odstranjen, a muškarac je zatim otkrio kako se kao dječak često igrao sa setom saobraćajnih znakova koji je sadržavao čunjiće. Dobio ga je za 7. rođendan.

Leave a Reply

Your email address will not be published. Required fields are marked *

This site uses Akismet to reduce spam. Learn how your comment data is processed.