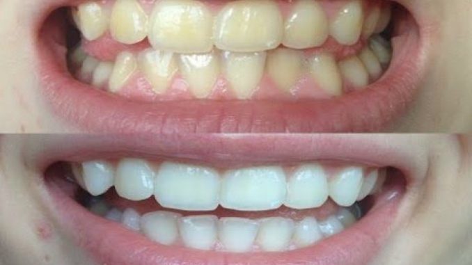
Svako jutro isperem usta ovom domaćom smjesom: niko mi ne vjeruje da ne radim izbjeljivanje kod zubara, a trik tako jednostavan (recept)

Sirće je jedan od najčešće korišćenih sastojaka u širokom spektru namjena. Uglavnom se koristi zbog svojih ljekovitih svojstava.

Sirće je bogato je pektinima, zdravim jedinjenjima i osnovnim mineralima.Može se koristiti za tretiranje bezbrojnih bolesti.Štaviše, smatra se da je najmoćniji i efikasniji sastojak za bijeljenje zuba.Sirće može zadržati pH u ustima zbog kiselih svojstava.

Kada se koristi uništava bolesti desni i mikrobe. Dakle, ostavlja usta bez bakterija i zube bijele kao bisere.

Da biste koristili jabukov sirće za oralnu njegu, uvijek ga treba razblažiti vodom. Tako, miješajte pola kašičice rastvora jabukovog sirćeta u šolju vode i isperite usta. Obavite ovo ujutro i očistite zube normalno nakon ove procedure.

Ponovite ovaj tretman svakodnevno.

Važni savjeti:Nikada ne upotrebljavajte nerazrijeđeno sirće jer može nanijeti štetu zubima, naročito emajlom.Uvijek protresite bocu prije nego upotrijebite jer su ključni sastojci dostupni na dnu bočice.Uradite ovu proceduru svako jutro.

Leave a Reply

Your email address will not be published. Required fields are marked *

This site uses Akismet to reduce spam. Learn how your comment data is processed.