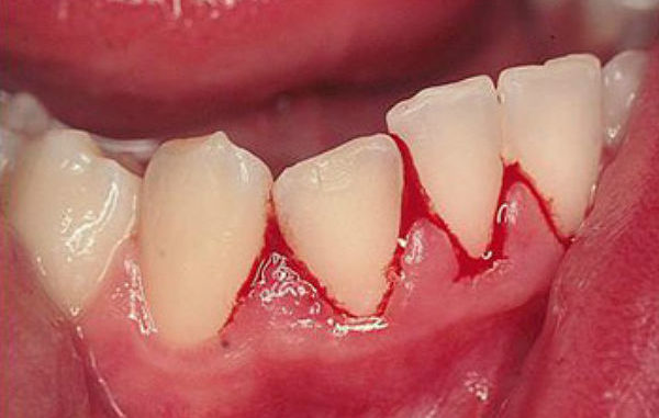
Krvarenje desni nije slučajnost: Evo o kojoj bolesti se radi!

Oticanje desni može biti signal zdravstvenih poteškoća i više nego što možete da zamislite.Rasprava o oralnom zdravlju uglavnom se vrti oko toga kako održavati zube belima i bez karijesa. Ali desnima se ne pridaje toliko pažnje.A upravo loša oralna higijena dovodi do oticanja desni i krvarenja.

“Plak je meka lepljiva materija koja se tokom dana neprestano formira u ustima i sadrži milion bakterija”, kaže kozmetički stomatolog iz Njujorka Katris Austin.On ističe da kada se plak ne uklanja svakodnevnim pranjem zuba, on oslobađa toksine koji inficiraju desni i uzrokuju oticanje.

Gingivitis

Najčešći okidač otečenih desni je gingivitis, blagi oblik bolesti desni.S vremenom, bakterije i čestice hrane stvaraju sloj plaka na zubima, a ako se on ne tretira pravilno, plak se pretvara u zubni kamenac.Ako se ne leči može da preraste u parodontitis, odnosno uznapredovalu vrstu bolesti desni) što dovodi do gubitka zuba.

Bitno je da kada god naiđete na otekle desni koje krvare, da odete kod stomatologa da proveri i ustanovi uzrok.U zavisnosti od težine bolesti, stomatolog vam može propisati oralne antibiotike ili lek za ispiranje usta.U zubima vam se nešto zaglavilo

Ako vam je natečen samo jedan zub i to područje, moguće je da je čestica hrane zarobljena ispod linije desni. Zbog toga telo pokušava da se bori protiv bakterija od neželjene hrane, što rezultira upalom okolnog tkiva.

Može doći do zaraze

Jedna od najčešćih infekcija, gingivostomatitis može prouzrokovati bubrenje desni – naročito kod dece, ali i kod odraslih.Novi lek

Neki lekovi mogu uzrokovati oticanje desni kao jednu od nuspojava, uključujući i liekove za krvni pritisak koji sadrže blokatore kalcijevih kanala, poput verapamila i diltiazema.

Lekovi poput fenitoina (lekovi protiv napada) mogu prouzrokovati gingivalni rast, gde tkivo zapravo raste preko zuba.

Nedostatak vitamina

Mnogi vitamini igraju ulogu u dobrom oralnom zdravlju, ali nedovoljan unos vitamina B i C obično rezultira otečenim desnima, a vitamin C ključan je u obnovi desni.

“Povećavanje unosa vitamina K takođe bi moglo biti od pomoći jer ako vam nedostaje vitamin K, vaše desni mogu da nateknu i krvare lakše kada dođu u kontakt s bakterijskim plakom i kamencom”, kaže stomatolog Austin.

Hormonalne promene

“Žene mogu imati natečene desni tokom nekih razdoblja u životu kada se suočavaju sa hormonalnim promenama, poput puberteta, menstruacije, trudnoće, menopauze i korišćenja kontracepcijskih pilula”, objašnjava Austin.

To je zato što hormoni utiču na to kako tkivo vaših desni reaguje na toksine koji se oslobađaju iz bakterijskog plaka i zubnog kamenca. Povišenje hormona estrogena i progesterona povećava mogućnost iritacije desni i otoka uzrokovanih plakom.

Prelazak na novu pastu za zube izaziva iritaciju

Sastojci paste za zube i sredstva za ispiranje usta mogu da nadraže tkivo desni i čak uzrokuju i alergijske reakcije.

“Prepoznavanje sastojka i uklanjanje istih sastojaka iz svakodnevne rutine često je dovoljno da vam desni zacele”, kaže dermatolog Tsippora Shainhouse.

Uobičajeni sastojci koji mogu izazvati neugodan oralni dermatitis su vodikov peroksid (izbeljivanje zubi), alkohol (sredstvo za ispiranje usta), soda bikarbona (pasta za zube) i cimet (žvakaća guma).

Zubna pomagala vam stvaraju probleme

“Loše uklapanje proteze mogu da nadraže desni, što dovodi do upale i oticanja”, tvrdi stomatolog Shainhouse.

Uklanjanje uređaja ili njegovo pravilno postavljanje tako da ne dodiruju desni obično mogu zaustaviti oštećenja i otok.

Ova infekcija može biti posledica virusne ili bakterijske infekcije, a često je praćena pojavom oralnih čireva.Iskrivljeni zubi mogu stvarati probleme

Nepravilnost vaših zubiju može da utiče na to koliko dobro im možete pristupiti i pravilno ih iščetkati kako biste uklonili bakterijski plak.Poravnavanjem i ispravljanjem zuba možete dobiti bolji pristup čišćenju ispod desni gde nakupljanje plaka uzrokuje infekcije desni i otekline”, kaže stomatolog Austin.

Imate lošije zdravstveno stanje

Otečene desni mogu biti znak lošeg zdravstvenog stanja, poput dijabetesa.

Glukoza je prisutna u slini, tako da kada vam šećer u krvi nestane, viši nivo glukoze u vašoj slini pomaže bakterijama da rastu, što na kraju može dovesti do bolesti desni, prema Nacionalnom institutu za dijabetes i probavne i bubrežne bolesti.

Drugi manje uobičajen, ali ozbiljan uzrok natečenih desni i krvarenja je leukemija (ponekad u obliku jedne natečene kvržice ili potpuno natečenih desni).

Ako se otok nastavi, pogotovo ako je povezan s drugim simptomima poput vrućine, noćnog znojenja, umora i neobjašnjivog gubitka telesne težine, potražite svog lekara da vam proveri krvnu sliku, piše Prevention,piše Stil

Leave a Reply

Your email address will not be published. Required fields are marked *

This site uses Akismet to reduce spam. Learn how your comment data is processed.